
✅ 위확장 꼬임증(GDV) 이란?
위확장 꼬임증(GDV, Gastric Dilatation and Volvulus)은 주로 대형견이나 심한 운동 후 급식한 반려견에게 발생하는 응급성 소화기 질환입니다. 위가 가스로 팽창하면서 뒤틀리는 상태로, **위확장(Dilatation)**과 위꼬임(Volvulus) 두 가지가 함께 일어납니다.
이 질환은 수시간 내 치료하지 않으면 생명을 위협할 수 있는 급성 질환으로, 반려인의 신속한 인지와 대처가 매우 중요합니다.
🐾 위확장 꼬임증의 주요 증상
GDV는 매우 급박하게 진행되며, 증상도 빠르게 악화됩니다. 아래 증상 중 2가지 이상이 동시에 보인다면 즉시 동물병원으로 이동해야 합니다.
- 복부 팽만 (특히 왼쪽 복부가 공처럼 부풂)
- 헛구역질, 구토 시도 (토는 하지 못하고 행동만 함)
- 과도한 침 흘림
- 불안, 숨가쁨, 복부통증
- 잦은 자세 변화, 앉았다 일어남 반복
- 청색증(혀나 잇몸이 파랗게 변함)
- 빠른 심박수, 쇠약, 실신
💡TIP: 헛구역질 + 복부 팽만은 GDV의 대표적인 조기 증상입니다.
🐶 GDV가 자주 발생하는 반려견 품종
일반적으로 가슴이 깊고 좁은 대형견에게 더 자주 발생합니다.
- 그레이트 데인 (Great Dane) – 가장 높은 발생률
- 아이리시 울프하운드
- 세인트버나드
- 저먼 셰퍼드
- 래브라도 리트리버
- 와이머라이너
- 도베르만
- 보더콜리, 골든리트리버 등 일부 중형견도 예외 아님
📌 위확장 꼬임증의 원인
정확한 원인은 아직 완전히 밝혀지지 않았지만, 다음과 같은 요소들이 위험 인자로 지목됩니다.
1. 급한 식사
사료를 한 번에 많이 먹는 습관은 GDV의 주요 원인 중 하나입니다. 공기를 함께 삼키며 위가 팽창하게 되기 때문입니다.
2. 격한 운동 직후 또는 식후 운동
식사 전후로 심한 운동을 하면 위가 움직이면서 꼬일 가능성이 커집니다.
3. 스트레스
예민한 성격의 개체는 위장 운동이 불규칙해지면서 위험이 커집니다.
4. 유전적 요인
GDV는 유전적 소인이 강하다는 연구 결과도 있습니다. GDV를 앓은 반려견의 직계 후손은 특히 주의해야 합니다.
🚨 GDV의 위험성 및 응급성
GDV는 단순한 소화불량이 아닙니다. 위가 꼬이면서:
- 위 내부에 가스가 축적되고,
- 위혈관이 눌리며 혈액순환이 차단되고,
- 전신 쇼크 → 다발성 장기부전 → 사망
🕒 6시간 이내 치료하지 않으면 사망률이 급격히 상승합니다. 따라서 "조금 이상한 것 같다"는 느낌이 들면 즉시 동물병원으로 내원해야 합니다.
🧑⚕️ GDV의 진단 및 치료법
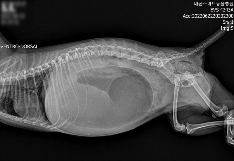
✅ 진단
- 복부 X-ray (위의 팽창 및 꼬임 확인)
- 혈액검사 (장기 손상 여부 확인)
✅ 치료
- 응급 안정화
- 정맥 수액 주입, 산소 공급, 통증 조절
- 위 감압
- 위에 축적된 가스를 제거하기 위해 위관 또는 피부 절개를 통한 감압 실시
- 수술
- 위를 원래 위치로 되돌리고, **위고정술(Gastropexy)**로 재발 방지
- 심한 경우 비장 제거 필요
※ 참고: 수술 후 회복에는 5~7일 이상이 소요되며, 빠른 대응이 생존율을 좌우합니다.
🛡 GDV 예방법: 일상관리로 예방하자
🍽 식사 관리
- 하루 2~3회 소량씩 나누어 급여
- 퍼즐 피더, 슬로우 피더 사용 추천
- 식후 최소 1시간 이상은 안정 상태 유지
🐕 운동 조절
- 격한 운동 후 최소 1시간 휴식 후 식사
- 식후 1~2시간 격한 활동 금지
🧬 위고정술 고려
GDV가 잦은 품종은 예방 차원에서 위고정술을 수의사와 상담해보는 것이 좋습니다.
🙅 공기 삼키기 방지
- 너무 높거나 낮은 급식 그릇 사용 피하기
- 집안 스트레스를 줄이고 안정된 환경 제공
📚 함께 보면 좋은 정보
반려동물의 위장질환이나 비상상황에 대비해, 다음 사이트들을 활용해 보세요:
👉 국가동물보호정보시스템
https://www.animal.go.kr
👉 한국동물병원협회(KAHA)
https://www.kaha.or.kr
👉 서울시 동물복지지원센터
https://animal.seoul.go.kr
📝 마무리하며: 반려견을 위한 빠른 대응이 생명을 살립니다
위확장 꼬임증은 흔한 질환은 아니지만, 한 번 발생하면 치명적인 결과를 가져올 수 있습니다. 특히 대형견을 키우는 보호자라면 반드시 예방수칙과 조기 증상을 숙지해 두는 것이 중요합니다.
반려동물은 말하지 못합니다. 이상 행동이 느껴진다면 즉시 수의사의 진단을 받는 것이 가장 현명한 방법입니다. 소중한 반려견의 생명을 지키기 위해, 오늘부터라도 식사 습관과 운동 패턴을 점검해 보세요.
'반려동물' 카테고리의 다른 글
| 🐾 반려동물 체중관리 완벽 가이드: 건강한 몸이 행복을 만듭니다 (3) | 2025.07.09 |
|---|---|
| 🐾 반려동물 척추 및 꼬리 기형, 무엇이 문제일까요? (1) | 2025.07.09 |
| 🛡️ 위풍당당한 수호자, 카네 코르소(Cane Corso) 완벽 안내서|성격, 특징, 훈련법, 키우는 법 (1) | 2025.07.08 |
| 🐶 주름 뒤에 숨겨진 매력, 불도그|성격, 특징, 키우는 법 총정리 (1) | 2025.07.07 |
| 🐾사랑스러운 반려견, 코카푸(Cockapoo) 완벽 안내서|성격, 특징, 키우는 법 총정리 (1) | 2025.07.07 |